Професійна гігієна ротової порожнини

Професійна гігієна

Професійна гігієна ротової порожнини - це комплекс процедур, спрямованих на оздоровлення органів та тканин порожнини рота, профілактику виникнення та прогресування стоматологічних захворювань. Професійна гігієна порожнини рота полягає у видаленні зубного м'якого нальоту та зубного каміння.

dantist

Стоматологія DR. Hrechkovskyi

Перелік послуг професійної гігієни

Ваше здоров'я, ваше майбутнє.
Не відкладайте на завтра.

Ультразвук

Метод, заснований на взаємодії ультразвукових хвиль та води. Для процедури використовується ультразвуковий скалер із металевою насадкою. За допомогою апарату лікар спочатку діє безпосередньо на поверхню емалі, а потім починає очищення ясенних кишень. Чистка зубного каменю ультразвуком може застосовуватися як самостійна процедура, так і бути початковим етапом загальної санації порожнини рота.

Air Flow

За допомогою спеціального апарату на поверхню зубів потужним струменем розпорошується суміш, що складається з води та круглих гранул кальцію або м’якого порошку гліцину. Виходячи зі стану порожнини рота, лікар підбирає рівень абразивності та інтенсивність дії. Цей метод ефективний для усунення м’якого нальоту, а також темного пігментного нальоту Прістлі.

Механічне зняття зубного каменю

  Незважаючи на існування апаратних методик, ручне механічне чищення все ще застосовується у стоматології. Дана техніка використовується як додаткова до ультразвуку, коли на поверхні зубів спостерігається великий обсяг затверділих відкладень 

Комбінована професійна гігієна

Використання всіх методів, що перераховані вище, називається комбінованим (комплексним) чищенням. Процедура проводиться поэтапно.

Після видалення зубного каменю, незалежно від обраного методу, проводиться чищення емалі щіткою та спеціальною полірувальною пастою. Це необхідно для усунення шорсткості та вирівнювання поверхні. Зуби стають гладенькими і на них довго не відкладається наліт.

Вибір тієї чи іншої методики здійснюється стоматологом після ретельного огляду.

Після проведеної професійної гігієни ротової порожнини спеціально для Вас на майбутнє складають індивідуальний графік проведення профілактики та гігієни , який допоможе зберегти осяйну усмішку. 

Що таке професійна гігієна?

Професійна гігієна ротової порожнини - це комплекс процедур, спрямованих на оздоровлення органів та тканин порожнини рота, профілактику виникнення та прогресування стоматологічних захворювань. Професійна гігієна порожнини рота полягає у видаленні зубного м'якого нальоту та зубного каміння.

collage (5)

Відповіді на ваші запитання

Поширенні питання

Гігієну ротової порожнини у дорослих рекомендується проводитися двічі на рік – цього буде цілком достатньо для підтримки чистоти та здоров'я ротової порожнини.

 Тривалість процедури професійної гігієна ротової порожнини займає в середньому приблизно 1 год.-1.30год.

  1. Утримайтесь від їжі та пиття: після профгігієни ваші зуби та ясна стають більш чутливими до різних речовин. Тож зачекайте приблизно годину перед тим, як почати приймати їжу чи напої.
  2. Утримайтесь від паління: нікотинові смоли та гарячий дим негативно впливають на емаль та можуть спровокувати надмірну чутливість.
  3. Перегляньте домашній догляд: уникайте використання жорстких зубних щіток чи агресивних зубних паст.
  4. Утримуйтесь від вживання гарячих та холодних напоїв: споживання гарячих чи холодних напоїв може підвищити чутливість зубів після профгігієни. Зачекайте декілька годин або вживайте напої через соломинку.
  5. Не їжте кислотні та пігментовані продукти: утримайтесь від вживання цитрусових, яскравих овочів та фруктів, кави, червоного вина тощо.

Процедура професійного чищення містить:

  • зняття м'якого нальоту
  • видалення наддесневого та піддесневого зубного каменю
  • видалення пігменту емалі
  • полірування поверхні емалі
  • флоссинг
  • підбір індивідуальних засобів гігієни порожнини рота
  • навчання техніки чищення зубів

Краще відкласти чистку, якщо Ви застуджені, на обличчі є висипання герпесу, при загостреннях хронічних захворювань. Професійна чистка раз на півроку, допоможе забути про карієс, проблеми з зубами та яснами. Перед, протезуванням, імплантацією і відбілюванням, професійна чистка просто необхідна.

Механічна чистка буває ручною (гігієнічна чистка за допомогою спеціальних щіток і гачків) і механічною (чистка системою Air flow). Ультразвукова чистка зубів здійснюється спеціальним апаратом, що випромінює вібраційні хвилі.

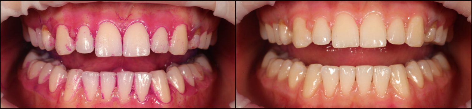
Приклади наших робіт

Ми зробимо усе можливе і навіть трішки більше для Вас

Відгуки наших клієнтів

Що кажуть про нас наші пацієнти

Ваше здоров'я, ваше майбутнє.
Не відкладайте на завтра.

Стоматологічний кабінет лікаря Олега Гречковського.

м. Луцьк, проспект Відродження 50 / 144